Foto 2023 Gubernaculum

Gubernaculum


Pagina iniziale


gubernaculum

Gubernaculum - Wikipedia

gubernaculum

Gubernaculum

gubernaculum

Formation of the gubernaculum testis. | Download Scientific Diagram

gubernaculum

Gubernaculum - YouTube

gubernaculum

Schematic drawing of the testis and its gubernaculum. On the left side... | Download Scientific Diagram

gubernaculum

Gubernaculum - an overview | ScienceDirect Topics

gubernaculum

FOllr sllccessive stages of gubernacular regression. The proper... | Download Scientific Diagram

gubernaculum

Human embryology and morphology. Embryology, Human; Morphology. 130 HUMAN EMBRYOLOGY AND MORPHOLOGY. the downgrowth of the gubernacular bud which pushes its way to the scrotum (Figs. 103 and 104). The gubernaculum

gubernaculum

Gubernaculum - an overview | ScienceDirect Topics

gubernaculum

Surgery, its principles and practice . Fig. 309.—Descent of the Testicle in Three Stages.The process of peritoneum and the gubernaculum testis preceding the testicle into the scrotum. gradually descends from its

gubernaculum

The Scrotum | Radiology Key

gubernaculum

The female gubernaculum: role in the embryology and development of the genital tract and in the possible genesis of malformations - ScienceDirect

gubernaculum

PDF] Towards a rational terminology in the study of the gubernaculum testis: arguments in support of the notion that the cremasteric sac should be considered the gubernaculum in postnatal rats and other

gubernaculum

The scrotum and testes | Radiology Key

gubernaculum

PDF] HISTOMORPHOLOGICAL FEATURES OF HUMAN GUBERNACULUM IN THE MALE | Semantic Scholar

gubernaculum

Schematic figure of the phases of testicular descent. | Download Scientific Diagram

gubernaculum

Anatomy of Reproductive Organs Flashcards | Quizlet

gubernaculum

Testicles | Anatomy Of The Pelvis | Learn Surgery Online

gubernaculum

The female gubernaculum: role in the embryology and development of the genital tract and in the possible genesis of malformations - ScienceDirect

gubernaculum

Gubernaculum (nematode anatomy) - Wikipedia

gubernaculum

The Inguinal Canal - Boundaries - Contents - TeachMeAnatomy

gubernaculum

Gubernaculum (nematode anatomy) - Wikipedia

gubernaculum

Gubernaculum Diagram | Quizlet

gubernaculum

EPOS™

gubernaculum

Gubernacular cord and canal: does these anatomical structures play a role in dental eruption?

gubernaculum

Dr Maaz ullah - Gubernaculum in female is ? A: ovarian ligament B:gunernaculm testes C:urinary bladder D:vagina Key : D asim and shoib 4th edition page 114 | Facebook

gubernaculum

Descent of the Fetal Testis from the Abdomen to the Scrotum | SpringerLink

gubernaculum

Figure 3 from Cryptorchidism in common eutherian mammals. | Semantic Scholar

gubernaculum

The area and attachment abnormalities of the gubernaculum in patients with undescended testes in comparison with those with retractile testes | Pediatric Surgery International

gubernaculum

Gubernaculum | ClipArt ETC

gubernaculum

Development of the Gubernaculum During Testicular Descent in the Rat - Nation - 2011 - The Anatomical Record - Wiley Online Library

gubernaculum

SciELO - Brasil - The importance of the gubernaculum in testicular migration during the human fetal period The importance of the gubernaculum in testicular migration during the human fetal period

gubernaculum

PDF) “GUBERNACULUM ANOMALIES”- EMBRYOLOGICAL BASIS AND ITS CLINICAL SIGNIFICANC

gubernaculum

EPOS™

gubernaculum

Testicles | Anatomy Of The Pelvis | Learn Surgery Online

gubernaculum

How to Pronounce Gubernaculum - YouTube

gubernaculum

Development of the Gubernaculum During Testicular Descent in the Rat - Nation - 2011 - The Anatomical Record - Wiley Online Library

gubernaculum

Genital System | Basicmedical Key

gubernaculum

A, Derivatives of the... - Human Anatomy and Embryology | Facebook

gubernaculum

Effect of androgens on the cranial suspensory ligament and ovarian position - Lee - 1999 - The Anatomical Record - Wiley Online Library

gubernaculum

Gubernaculum (classical) - Wikipedia

gubernaculum

What is gubernaculum? \\[ \\mathrm{r} \\] (W) - YouTube

gubernaculum

Xmlinkhub

gubernaculum

Dr. OMID BANDARCHI on X: "Anatomy as well as development of Inguinal canal.Spectacular👌 During development,gubernaculum attaches the inferior portion of gonad to the future scrotum or labia & guides them during their

gubernaculum

The Mechanism Of The Gubernaculum Testis. Prize Thesis: Cleland, In Charge of the Dynamic Data Base John: 9781377272672: Amazon.com: Books

gubernaculum

Figure 4 from Cryptorchidism in common eutherian mammals. | Semantic Scholar

gubernaculum

MaleMusFIG 34 Legend

gubernaculum

Gubernaculum hi-res stock photography and images - Alamy

gubernaculum

The gubernaculum during testicular descent in the human fetus. - Abstract - Europe PMC

gubernaculum

Gubernaculum Testis and Cremasteric Vessel Preservation during Laparoscopic Orchiopexy for Intra-Abdominal Testes: Effect on Testicular Atrophy Rates | Journal of Urology

gubernaculum

Gubernaculum testis : définition et explications

gubernaculum

A, Derivatives of the... - Human Anatomy and Embryology | Facebook

gubernaculum

Cells | Free Full-Text | Testicular Torsion: Preliminary Results of In Vitro Cell Stimulation Using Chorionic Gonadotropin

gubernaculum

Perspectives in Pediatric Pathology: Chapter 2. Testicular Descent - Manuel Nistal, Ricardo Paniagua, Pilar González-Peramato, Miguel Reyes-Múgica, 2015

gubernaculum

The female gubernaculum: role in the embryology and development of the genital tract and in the possible genesis of malformations - ScienceDirect

gubernaculum

The gubernaculum during testicular descent in the human fetus. - Abstract - Europe PMC

gubernaculum

SciELO - Brasil - The importance of the gubernaculum in testicular migration during the human fetal period The importance of the gubernaculum in testicular migration during the human fetal period

gubernaculum

Gubernaculum (classical) - Wikipedia

gubernaculum

Anatomy word of the month: Gubernaculum | News | Des Moines University

gubernaculum

Descent of the Testes - Embryology Flashcards | ditki medical and biological sciences

gubernaculum

Scheme of testicular descent showing the testis (1), gubernaculum (2),... | Download Scientific Diagram

gubernaculum

Malerepro.htm

gubernaculum

The Testicular Descent in Human: Origin, Development and Fate of the Gubernaculum Hunteri, Processus Vaginalis Peritonei, and Gonadal Ligaments: 9783540673156: Medicine & Health Science Books @ Amazon.com

gubernaculum

Cryptorchidism in common eutherian mammals in: Reproduction Volume 133 Issue 3 (2007)

gubernaculum

Figure 2 from Cryptorchidism in common eutherian mammals. | Semantic Scholar

gubernaculum

Https://www.alamy.com/licenses-and-pricing/?v=1

gubernaculum

Cranial view of the testis and gubernaculum between E 17.5 and E 20 in... | Download Scientific Diagram

gubernaculum

Epioblasma torulosa gubernaculum • Earth.com

gubernaculum

The gubernaculum during testicular descent in the human fetus. - Abstract - Europe PMC

gubernaculum

Human embryology and morphology. Embryology, Human; Morphology. THE UROGENITAL SYSTEM. 131 The testis spends the seventh month of foetal life in its exodus through the abdominal wall. In the eighth month

gubernaculum

Tissue 171 – Gubernaculum Testis Lower Part

gubernaculum

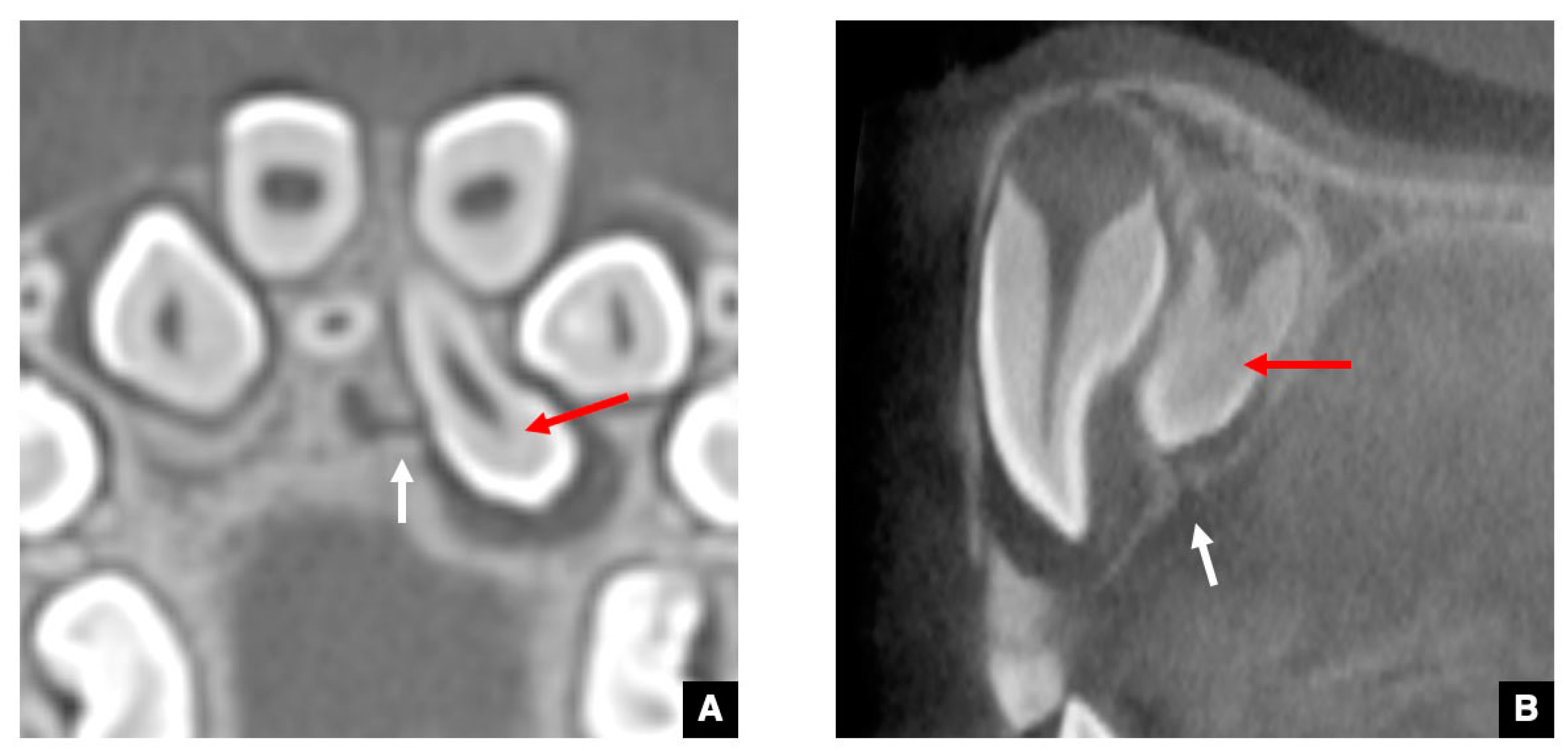
Figure 1 from Characteristics of the gubernaculum tracts in mesiodens and maxillary anterior teeth with delayed eruption on MDCT and CBCT. | Semantic Scholar

gubernaculum

MUSSELpdb | nominal sp. Unio gubernaculum Reeve, 1865

gubernaculum

Schematic drawing of the testis and its gubernaculum. On the left side... | Download Scientific Diagram

gubernaculum

The gubernaculum during testicular descent in the human fetus. - Abstract - Europe PMC

gubernaculum

Cell membrane and mitotic markers show that the neonatal rat gubernaculum grows in a similar way to an embryonic limb bud - ScienceDirect

gubernaculum

Development of the Gubernaculum During Testicular Descent in the Rat - Nation - 2011 - The Anatomical Record - Wiley Online Library

gubernaculum

Testicular descent. (A) Cranial suspensory ligament (CSL) and... | Download Scientific Diagram

gubernaculum

Gubernaculum Testis and Cremasteric Vessel Preservation during Laparoscopic Orchiopexy for Intra-Abdominal Testes: Effect on Testicular Atrophy Rates | Journal of Urology

gubernaculum

MaleMusFIG 35 Legend

gubernaculum

Https://www.alamy.com/licenses-and-pricing/?v=1

gubernaculum

File:Naturalis Biodiversity Center - RMNH.MOL.313711 - Anadara gubernaculum (Reeve, 1844) - Arcidae - Mollusc shell.jpeg - Wikimedia Commons

gubernaculum

The Mechanism Of The Gubernaculum Testis. Prize Thesis...: Cleland, John: 9781295197149: Amazon.com: Books

gubernaculum

Hernia and Hydrocele | SpringerLink

gubernaculum

The gubernaculum during testicular descent in the human fetus. - Abstract - Europe PMC

gubernaculum

Gubernaculum in different positions, from different specimens of... | Download Scientific Diagram

gubernaculum

PDF] HISTOMORPHOLOGICAL FEATURES OF HUMAN GUBERNACULUM IN THE MALE | Semantic Scholar

gubernaculum

Gubernaculum hi-res stock photography and images - Alamy

gubernaculum

JCM | Free Full-Text | Overview of Radiological Studies on Visualization of Gubernaculum Tracts of Permanent Teeth

gubernaculum

Morphology of the spicules and the gubernaculum of A. hylambatis from... | Download Scientific Diagram

gubernaculum

Gubernaculum Stock Photos and Pictures - 1 Images | Shutterstock

gubernaculum

Development of the Gubernaculum During Testicular Descent in the Rat - Nation - 2011 - The Anatomical Record - Wiley Online Library

gubernaculum

Misconception of the Gubernaculum Testis: L.J. and State Wells: Amazon.com: Books

gubernaculum

The Reproductive Tract | Veterian Key

gubernaculum

DES effects on gubernaculum testis cells mediated by GPER-protein kinase A-ERK-CREB signaling pathway